![]()
我们经常在胸部X线拍片诊断报告里会看到这样的描述:左/右/双侧肋膈角变钝或肋膈角消失。
那“肋膈角变钝”究竟意味着什么?到底是什么病导致的呢?
首先我们要了解一下什么是肋膈角,肋膈角是人体胸膜腔内的一个解剖结构,由肋胸膜(覆盖肋骨内面)与膈胸膜(覆盖膈肌顶部)反折形成,位于胸腔底部,左右各一。正常状态下呈锐角(通常≤30°),在X线胸片上可清晰显示。其位置通常在第10-12肋骨水平。


1、缓冲空间:呼吸时膈肌上下移动,肋膈角为胸膜腔提供伸缩空间;
2、积液聚集区:因位置最低,胸腔积液或炎症渗出液易在此处积聚。


横膈膜上方两侧,靠近胸廓边缘处,与肋骨内缘围成的锐角形的区域。肋膈角是胸部正位X线片或胸部X线透视时的一个正常解剖标志,是站立位时胸腔最低的位置。
正常时,肋膈角呈锐利状态,而且边缘光滑整齐清晰。后肋膈角最深,前肋膈角较浅,右侧膈下是肝脏,位置略高,左侧是胃底,膈面略低,但双侧肋膈角一般等高,在正位X线片上,呈对称的两个锐角。

肋膈角变钝,其实反映的是胸腔或胸膜上的病变:

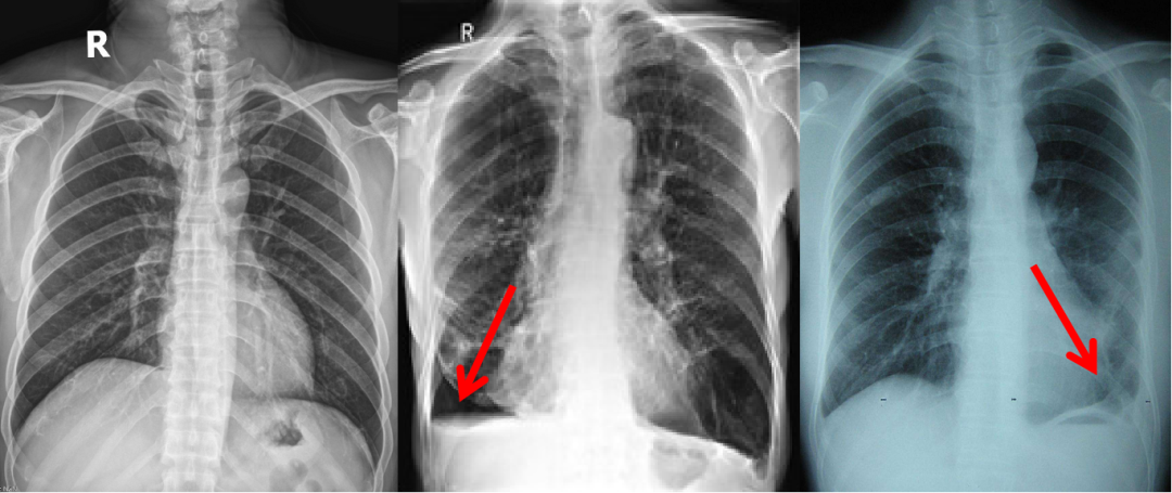
左图正常,双侧肋膈角锐利;中图右侧肋膈角变钝,少量胸腔积液;右图左侧胸膜粘连,肋膈角消失。
少量胸腔积液:如果胸腔积液量不多,因重力作用,首先聚集在最低处,也就是肋膈角处,在X线正位片上就会表现为肋膈角变钝,这是最常见的原因。当然,也可以是胸腔积血等。进一步讲,如果胸腔积液量超过300ml时,肋膈角就不是变钝了,而是肋膈角消失,甚至整个下肺野实变。
胸膜粘连:胸膜炎,胸膜粘连、胸膜增厚时,也可以将肋膈角封闭,表现为肋膈角变钝。
膈上病变:肺底积液、下叶肺不张、肺下炎症等,也可以使肋膈角消失变平。
膈下病变:肝脏肿瘤、膈下积液、胃底外侧病变等,会使膈肌受累,肋膈角变钝。
因此,大家在影像报告中发现“肋膈角变顿”时不必恐慌,“肋膈角变顿”不一定是严重问题,遇到该描述可咨询专业医生进行进一步解读和建议或者通过进一步检查明确病因并进行相应处理。
*文中配图部分来源网络,如有侵权,请联系删除。
(普放科:吴君平)
0531-55591800
济南市历下区大明湖路132号
乘坐: 11路、41路、K95路、K98路、K109路、K54路到济南市第一人民医院下车
CopyRight 济南市第一人民医院 版权所有 鲁ICP备11028831号-1