您好,欢迎访问济南市第一人民医院
全国统一服务热线:0531-55591800

你现在所在的位置:首页 > 健康教育 > 健康教育

健康教育
HEALTH EDUCATION

身体里藏了个“小间谍”?聊聊超声发现的副脾


体检报告上突然出现“副脾”两个字,是不是让你心头一紧?别担心,这其实是个挺常见的先天小状况。今天我们就用轻松的方式,揭开它的神秘面纱。



Part.I

副脾是什么呢?

想象一下,脾脏是我们身体里勤劳的“免疫卫士”和“血液清道夫”。有时候,它在胚胎期发育时,会调皮地分出去一小部分,在附近另立门户,形成一个迷你版的自己。这个小家伙,就是副脾。



Part.2

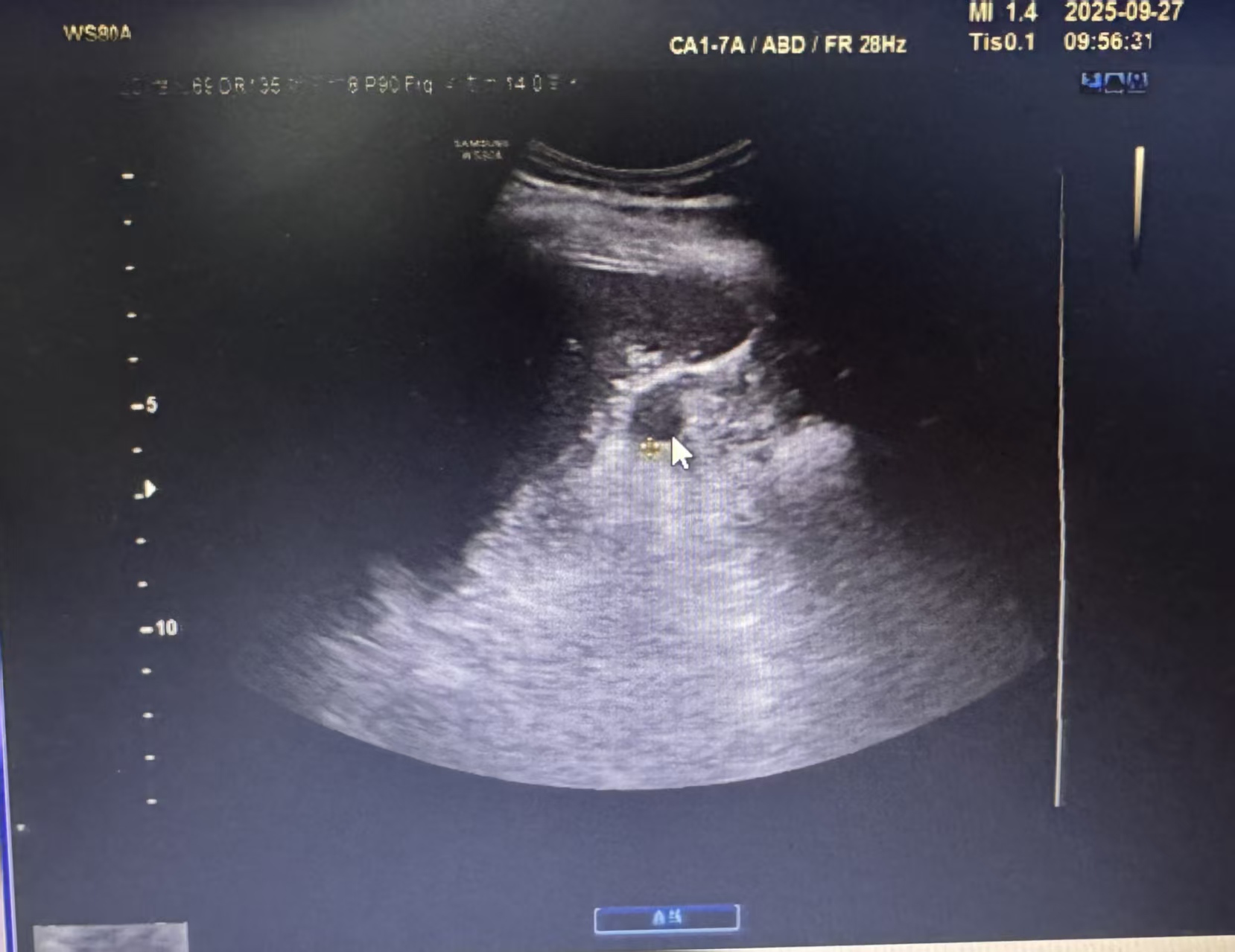
超声眼里的“小间谍”长啥样?

做超声检查时,副脾逃不过医生的“火眼金睛”。它通常有几个明显特征:


1. 位置固定

最爱躲在脾脏的“家门口”,也就是脾门附近,像个忠诚的小跟班。偶尔也会跑到胰尾附近。


2. 外形圆润

大多呈边界清晰的圆形或椭圆形,直径通常在1-2厘米,像个光滑的小球。

3. 善于伪装

这点最关键!在超声图像上,副脾的回声质地和主脾脏一模一样。这就是判断它是副脾而非其他肿物的核心依据。



Part.3

它有害吗?需要手术切除吗?

绝大多数情况下,副脾是无害的,不会影响健康,更不会癌变。它本身就是正常的脾脏组织,功能也相同,所以通常不需要任何治疗。


之所以需要了解它,是为了避免两种误判:


别把它当肿瘤:检查时如果发现脾门附近有小结节,医生首先就会考虑副脾的可能,避免误诊为淋巴结肿大或肿瘤。


手术前要提醒医生:万一将来因脾脏疾病(如外伤、血液病)需要切除脾脏,必须提前告诉医生有副脾存在。因为副脾可能会代偿主脾脏的功能,导致原发病(如某些血液病)治疗效果不佳或复发。



如果在超声报告上看到“副脾”,恭喜你,这只是说明你身体里多了个脾脏的“备份”。它就像上天给的一个小彩蛋,除了让你多了个谈资,基本不用担心。记住医生的建议,定期体检观察就好。下次体检时,不妨跟医生聊聊这个身体里的小秘密,让它不再神秘。

*文中配图部分来源网络,如有侵权,请联系删除。

(超声科:高玉梅)



0531-55591800

济南市历下区大明湖路132号

乘坐: 11路、41路、K95路、K98路、K109路、K54路到济南市第一人民医院下车

CopyRight 济南市第一人民医院 版权所有 鲁ICP备11028831号-1

回到顶部